У младенца нашли редкий синдром из трех букв

У четырехмесячной девочки выявили крайне редкое генетическое заболевание

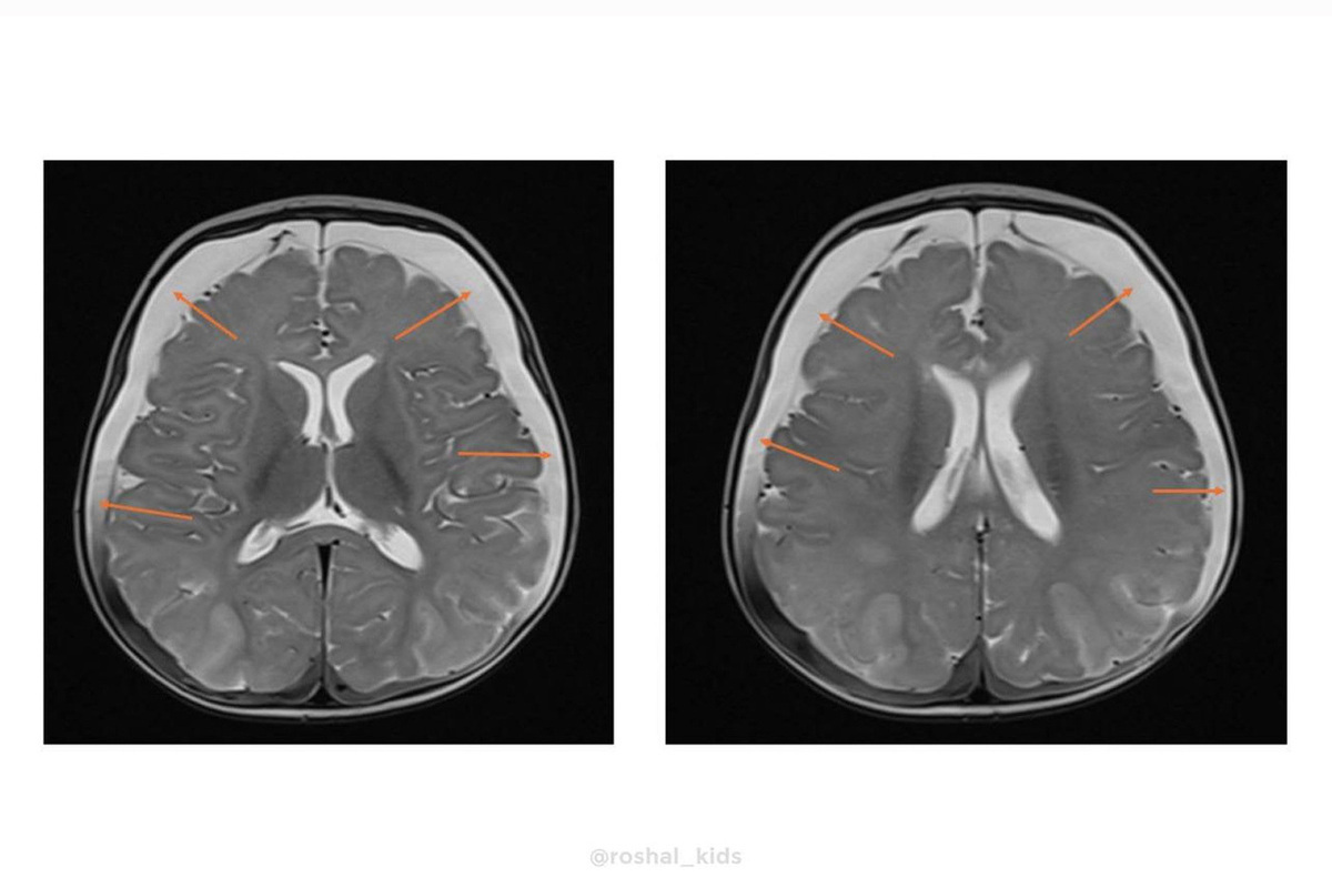
Девочку с редким генетическим заболеванием спасли врачи Детского научно-клинического центра Рошаля. Организм младенца был отравлен аммиаком в результате сбоя в обмене веществ.

У четырехмесячной девочки выявили крайне редкое генетическое заболевание

тестовый баннер под заглавное изображение

Как узнал «МК», в медучреждение в тяжелом состоянии привезли четырехмесячную девочку. У ребенка случился судорожный приступ. Обследование выявило пугающие симптомы: выпирающий родничок, увеличенный размер головы и критически высокий, почти в пять раз выше нормы, уровень аммиака в крови (194 мкмоль/л при норме до 47). Врачи выяснили, что у маленькой пациентки оказалось крайне редкое генетическое заболевание: ННН-синдром. Это нарушение цикла мочевины, врожденный сбой в обмене веществ. Организм не может перерабатывать белок, из-за этого происходит отравление аммиаком, буквально разрушающее мозг.

Специалисты подобрали терапию, которая помогла прекратить поступление белка. Это позволило предотвратить необратимое повреждение мозга. Уже через 24 часа уровень аммиака снизился до нормальных значений.

Опубликован в газете "Московский комсомолец" №29651 от 19 ноября 2025

Заголовок в газете: У младенца нашли редкий синдром из трех букв

Что еще почитать

В регионах

Новости

Самое читаемое

...
Сегодня
...
...
...
...
Ощущается как ...

Реклама

Популярно в соцсетях

Автовзгляд

Womanhit

Охотники.ру