Донецкий врач рассказал "МК", чем обстреливают Донбасс - кассетными снарядами

Александр Кузнецов: «Мы оперировали людей после поражения кассетными боеприпасами и пулями со смещенным центром тяжести!»

Профессор Александр Кузнецов не просто областной кардиохирург, профессор Донецкого медицинского университета и уважаемый врач. Он один из немногих, кто совершенно четко может не просто подтвердить применение кассетных боеприпасов в этой войне, но и показать поражающие элементы этих боеприпасов, которые в его отделении кардиохирургии доставали из тел пациентов. Равно как и другие смертоносные игрушки этой войны. Профессор хранит множество историй, но делится ими довольно неохотно.

Александр Кузнецов: «Мы оперировали людей после поражения кассетными боеприпасами и пулями со смещенным центром тяжести!»

тестовый баннер под заглавное изображение

Я знал, например, что в его отделении оперировали многих известных полевых командиров ДНР.. Но на эту тему хирург говорить не стал. А вот фотографиями поражающих элементов кассетных боеприпасов и своим видением медицины в войне, профессор Кузнецов поделился.

Он возглавляет одно их самых технологичных отделений Донецка - кардиохирургию в Областной клинической больнице имени Калинина. То, что не могут извлечь из тел раненых другие, достают именно здесь…

- В чем уникальность вашего отделения?

- Уникальности никакой нет. У нас просто есть врачи, которые обладают опытом извлечения инородных тел под рентгенологическим контролем и есть соответствующее оборудование. У нас есть стационарный ангиограф и «передвижка». Один аппарат двигается вдоль операционного стола по консолям, другой – рукой. Собственно, когда это нужно? Когда обычные хирургические методы оказываются бессильны, когда тот же осколок не видишь глазом. У нас был такой опыт еще задолго до войны. Мы доставали разные инородные тела. Был случай – иглу извлекали из ягодицы. Ее очень трудно достать. Иногда ты должен располосовать всю ягодицу, пойти на травматическую операцию и не найти иголку. Под рентгенконторолем это сделать легко – ты ее видишь! И когда пошел вал осколочных ранений, особенно в июле- августе этого года, мы этот опыт использовали. Пошли пациенты. Они, конечно, были не совсем профильные для кардиохорургии. Но, тем не менее, такие пациенты были, и мы такую работу делали.

- А можете сказать, что эта война имеет какие-то свои особенности? Фосфорные боеприпасы, кассетное оружие, химическое оружие, пули со смещённым центром тяжести… Медицина видит что-нибудь из последствий применения таких вещей?

- С последствиями применения химического оружия или фосфорными боеприпасами я не сталкивался и лично об этом ничего не слышал. Что касается кассетных боеприпасов, то нам о них рассказывали представители Красного Креста, которые у нас были, и мы были подготовлены к тому, что увидели на рентгеновском снимке и операционном поле у пациентов, которых привозили после боёв.

- Кто были эти пациенты - мирные, военные?

- Мы доставали это из тел несколько раз и всегда это были военные. Военные люди, которые воевали за ДНР. Должен сказать, украинских военных мы тоже оперировали, до июля месяца включительно, но после июля они уже к нам не поступали. А так мы лечили всех и это естественно. Согласно Женевской конвенции 1949 года мы лечим всех - и украинских солдат и ополченцев ДНР, и всех кого привозят. Наше дело лечить. В войну мы не лезем.

- А как выглядели эти кассетные эелементы?

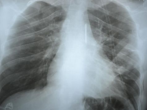
- Ну, вы знаете, что кассетный боеприпас начинён большим количеством поражающих элементов. То, что мы доставали из тел, выглядело как иголка с оперением. Такая себе железная стрелка. У меня есть фотографии этой стрелки, когда она извлечена и есть рентгеновский снимок подобной стрелы, которая застряла возле лёгочной артерии.

- Можете рассказать о каком-нибудь наиболее сложном случае?

- Да. Это был ополченец из-под Славянска. И родом он,кстати, был из Славянска. Подобная стрела попала ему в яремную вырезку, проще говоря, чуть пониже шеи. И прошла в лёгочную артерию. Это магистральный сосуд, который отходит от сердца. Там эта стрелка инкапсулировалась – то есть возникло вокруг неё воспаление, и этот воспалительный инфильтрат держал её, как в капсуле. И он с этой стрелой ходил несколько месяцев пока не попал в нашу больницу. Мы сделали снимки, всё это обнаружили и, поскольку доставать оттуда такую вещь было очень опасно- можно получить кровотечение с совершенно непредсказуемым исходом, то была выполнена операция с применением методики искусственного кровообращения, и этот боеприпас мы всё-таки извлекли.

Стрела из кассетного боеприпаса, извлеченная из тела

Я почему знаю, что этот человек был местный из Славянска? К нему приезжал отец, такой старенький уже человек. И он пришел ко мне и спросил, тяжёлой ли будет операция. Я ответил: «Да, очень». Ещё он спросил – «Делали ли вы раньше такую?». Я честно ответил – «Нет!» И он ушёл, а мы пошли оперировать, и все прошло довольно удачно. Сейчас этот человек живёт в Донецке, семью сюда из Славянска перетащил. Он совершенно реальный персонаж и продолжает воевать за Донецкую народную республику.

- А россиян многих оперируете?

- Вы знаете, сейчас такое время, когда много вопросов не задашь. Чаще всего в истории болезни пишется только позывной. И кто он, донецкий или россиянин, не мне врачу судить и разбираться. Одно могу сказать – местных донецких, тех, кто воюет за ДНР, довольно много среди наших пациентов. И очень часто они попадают сюда по нашему основному профилю- с острыми инфарктами миокарда. Довольно много людей в солидном возрасте, которые в одной руке держат автомат, а в другой нитроглицерин. Такие есть и среди россиян, их тоже немало к нам попадает с сердечными проблемами. Мало того, во время этой войны мы оперировали и американцев, сербов, поляков, чехов, греков….

- А пули со смещённым центром тяжести вы видели?

- Да, и такие случаи были. И они нами тоже задокументированы. Но, собственно говоря, классические пули со смещённым центром тяжести промышленного производства мне видеть не приходилось. А вот пули с «нарезочкой», когда самостоятельно надрезают головку боеприпаса и он при попадании в ткани человеческого тела разворачивается как цветок, и идёт дальше вглубь тела с гораздо большим поражающим эффектом, мы видели. Такие вещи мы оперировали и у нас тоже есть рентгеновские снимки, наблюдения, документы. Мы готовы это предоставить и когда – нибудь, когда наступит мир, это тоже станет темой научных публикаций.

- Вы ждёте мира?

- Да, я убеждён, что будет мир. Любая война заканчивается миром. Так всегда было в истории, и я не думаю, что наша локальная история как-то перепишет мировую.

- Я видел Вас летом без бороды.

- А вот это очень личная история. Я просто летом дал себе обет - не бриться, пока не наступит мир. Но это мой личный опыт, который не имеет никакого отношения к моей работе.

Дмитрий Дурнев, «МК-Донбасс»

Сюжет:

Украинский кризис

Опубликован в газете "Московский комсомолец" №26712 от 30 декабря 2014

Заголовок в газете: Смертельная коллекция профессора Кузнецова

Что еще почитать

В регионах

Новости

Самое читаемое

...
Сегодня
...
...
...
...
Ощущается как ...

Реклама

Автовзгляд

Womanhit

Охотники.ру