«Хамелеон» с женским лицом вышел из тени

Алексей Бойко: «При разработке программ профилактики рассеянного склероза специалисты возвращаются к рыбьему жиру для детей»

На днях в Казань съезжаются почти 500 неврологов из России и более 50 представителей из ведущих стран мира, которые занимаются рассеянным склерозом. «Это будет первый конгресс Российского комитета исследователей рассеянного склероза с международным участием, где будут представлены последние достижения в области ранней и точной дифференциальной диагностики этого заболевания, — сказал при встрече главный врач больницы №11, руководитель Московского городского центра рассеянного склероза, д.м.н., профессор кафедры неврологии и нейрохирургии РНИМУ им. Н.И.Пирогова Алексей БОЙКО. — Разговор пойдет не только о лечении рассеянного склероза, но и о нейроинфекциях. В практическом здравоохранении часто этого не знают в полном объеме».

Алексей Бойко: «При разработке программ профилактики рассеянного склероза специалисты возвращаются к рыбьему жиру для детей»

тестовый баннер под заглавное изображение

«Рассеянный склероз — болезнь молодых: страдают в основном люди трудоспособного возраста. Но бояться этого заболевания сейчас не надо»

— Рассеянный склероз — социально значимое заболевание: в основном болеют люди от 20 до 50 лет, но бояться этого заболевания сейчас не надо, — начал Алексей Николаевич. — Сегодня для его лечения имеется специфическая высокоэффективная терапия. Необходимо вовремя провести точную диагностику и подобрать адекватное лечение. Есть целая группа иммуномодуляторов, которые так и называются: препараты, изменяющие течение рассеянного склероза.

— Значит, сегодня можно утверждать, что рассеянный склероз излечим?

— Я бы сказал так: прогноз заболевания при рассеянном склерозе сегодня намного лучше, чем был раньше, в связи с внедрением новых препаратов и ранней диагностикой. У нас под наблюдением есть пациенты, которые получают это специфическое лечение уже 10—15 лет. Если раньше молодым женщинам иногда не рекомендовали иметь детей, то сейчас при нашем Московском городском центре рассеянного склероза можно открывать детский сад. Одна моя пациентка за 12 лет родила шестерых и сейчас беременна седьмым ребенком. Даже в случаях, которые раньше считались с плохим прогнозом, есть возможность существенно снизить активность заболевания. Специалисты знают: чтобы снизить риск обострений рассеянного склероза, необходимо делать то-то и то-то.

— Но есть же и очень сложные случаи...

— Рассеянный склероз очень разный: есть мягкий, средней тяжести, но есть и злокачественный, когда на болезнь нужно «нападать» очень быстро и активно. Потому что может появиться тяжелейшее поражение головного мозга. Уже ведется работа по персонализации назначения терапии. С помощью генетических, иммунологических, томографических исследований можно подобрать группу лекарств, поддерживающих стабильное состояние больного десятилетиями. Вот этим мы в последние годы и заняты: персонализированным подбором терапии. Выделена группа препаратов первого выбора — первая линия лекарственных средств, затем вторая и третья. Каждый более сильный препарат обязательно имеет побочные нежелательные эффекты, влияющие на здоровье. Это своего рода баланс: не бывает эффективных лекарств без побочных действий. В тяжелых случаях достигнуть положительного эффекта препаратом с минимальными побочными эффектами зачастую просто невозможно. Нет одной «кремлевской» таблетки, чтобы излечиться от серьезного заболевания без последствий. Для лечения рассеянного склероза уже создано несколько поколений препаратов, имеющих определенные показания и противопоказания.

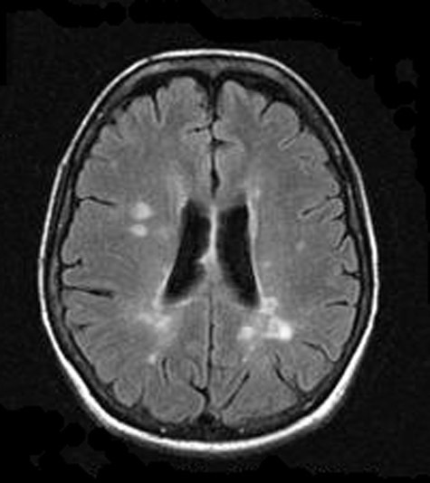
Томограмма мозга пациента с рассеянным склерозом. Видны множественные очаги поражения в ткани мозга.

— Какие побочные эффекты все же могут быть? И на какие симптомы больному надо обязательно обращать внимание?

— У каждого препарата есть свои нежелательные действия, надо их знать и предупреждать. Например, есть сильный препарат, который выборочно подавляет определенные звенья иммунной системы, но у него есть побочная реакция — активируется редкая инфекция в мозге (вторая тема нашей предстоящей конференции — нейроинфекции). Значит, для этой терапии надо подбирать пациентов с минимальным риском такого осложнения. Другой препарат, новый, современный, снижает активность рассеянного склероза, но может влиять на работу сердца при приеме первой дозы лекарства. Значит, перед тем как давать этот препарат, нужно тщательно обследовать больных и не назначать тем, у кого есть проблемы с сердцем. Программа управления рисками и комплексное обследование, которое позволяет мониторировать необходимые функции организма и предупреждать эти осложнения, называется «план управления рисками».

— Способны ли доктора в обычных клиниках принимать столь грамотное решение при лечении тяжелых больных?

— В практическом здравоохранении часто этого не знают в полном объеме. Всероссийское общество неврологов при поддержке пациентских организаций уже 4 года проводит образовательную программу для врачей в городах России. Мы собираем вместе 7—12 профессоров из ведущих неврологических клиник страны и выезжаем в определенный регион страны со специальным двухдневным курсом — проводим «школу рассеянного склероза». Подготовили и опубликовали справочник терминов и раздаем его бесплатно на занятиях. Книга включает порядка 400 определений, объясняющих вопросы иммунологии, генетики, томографии, новые препараты и другие вопросы. Ведь те же симптомы рассеянного склероза очень схожи, например, с болезнью Лайма (нейроборрелиоз тоже поражает нервную систему). Если неправильно диагностировать, то и дорогостоящие препараты, предназначенные для рассеянного склероза, не подействуют, и время для адекватного лечения этой инфекции будет потеряно.

— Готовы ли медицинские вузы предложить специалистов такого уровня?

— Сегодня вузы готовят врачей-клиницистов, они имеют базовые знания. А чтобы из такого врача подготовить невролога и еще обучить умению диагностировать и лечить рассеянный склероз, потребуется не один год. Поэтому для студентов, может, и полезен был бы курс по нейроиммунологии. Эти знания восполняют в определенной степени факультеты усовершенствования врачей при постдипломном обучении. В этом смысле свою лепту вносит и Всероссийское общество неврологов, проводя эти «школы» для врачей уже в более чем 15 городах страны.

— Ваш центр тоже ощущает дефицит в таких кадрах?

— Конечно. Грамотного специалиста по рассеянному склерозу сразу после вуза искать бесполезно. Его нужно еще этому обучить. Если 5 лет назад было всего 5 препаратов для лечения рассеянного склероза, в 2013-м — 8, то к 2015-му планируется более 15 новых препаратов. Кто докторам расскажет об этих новинках? Далеко не все врачи имеют возможность читать англоязычные журналы. У многих для этого нет даже времени.

«В большинстве стран, где растет заболеваемость, чаще болеют молодые женщины»

— А если говорить о самом заболевании, ширится оно или остается на уровне 20-летней давности? И что больше всего влияет на заболеваемость?

— Больных рассеянным склерозом стало намного больше. Назову четыре фактора, влияющие на показатели. Фактор первый: стала более ранней выявляемость заболевания, с помощью МРТ ставится более точный диагноз. Внедрены более точные диагностические критерии (в том числе и в России), сегодня это критерии Макдональда в версии 2010 года. Поэтому сейчас больше клинически мягких случаев. Фактор второй: от рассеянного склероза очень редко умирают. Погибают только в самых редких злокачественных случаях, когда поражен ствол мозга, и чаще, когда у тяжелого больного появились опасные осложнения: легочная и урологическая инфекции. Сейчас есть намного больше возможностей симптоматической и антибактериальной терапии. Крайне важен третий фактор: появление новых методов патогенетического лечения, снижающих активность болезни. Пациенты с рассеянным склерозом накапливаются в популяции благодаря своевременной диагностике и эффективному лечению.

Фактор четвертый: рост истинной заболеваемости. К большому сожалению, рассеянный склероз, как и все аутоиммунные патологии, — болезнь цивилизации. Чаще болеют жители стран с растущей экономикой, с высокими темпами жизни. Есть прямая связь между заболеваемостью рассеянным склерозом и экологией (доказано многими исследованиями в различных регионах России, а также в Германии, США, Италии, Чехии). Однозначно: в больших городах заболеваемость рассеянным склерозом выше.

— Наш город, надеюсь, не лидер в этом плане? Вы же являетесь главным неврологом Департамента здравоохранения Москвы и президентом Российского комитета исследователей рассеянного склероза...

— Москва — нет. Но... Если 20 лет назад средняя заболеваемость рассеянным склерозом в России была до 50 случаев на 100 тыс. населения, то сейчас многие регионы нашей страны перешагнули этот рубеж. И Россия здесь не одинока, вся Южная Европа (Испания, Италия, Португалия), где всегда были низкие уровни заболеваемости, сейчас перешли на высокий уровень. И в Иране, Саудовской Аравии, в ОАЭ, Катаре, Бахрейне, где были лишь единичные случаи, теперь показатели распространенности часто выше 50 случаев на 100 тыс. населения. В основном страдает молодежь. В большинстве стран, где растет заболеваемость, чаще болеют молодые женщины. В целом идет распространение заболеваемости по различным популяциям.

— Как специалисты объясняют такой феномен?

— Дело в том, что геном человека не есть что-то неизменное. Постоянно идет мутация генов. Например, ретровирусы могут передаваться по наследству: они могут встраиваться в геном человека. И при наличии какого-то внешнего фактора, например экологического неблагополучия или влияния суперинфекции, ретровирус может реализоваться, хотя до того ничем не проявлял себя в организме. Все это слишком сложно. Нельзя сказать, например: обливайтесь по утрам холодной водой, и у вас не будет рассеянного склероза. Хотя отношение к своему здоровью — это тот показатель, который принципиально отличает россиян от жителей многих стран Европы и Северной Америки. Там люди не просто ведут здоровый образ жизни, они внимательно прислушиваются к своему организму.

Ликбез для больных — выступает профессор Алексей Бойко.

«Если у человека есть микроавитаминоз по витамину D и он курит, то у него существенно выше риск развития рассеянного склероза»

— Алексей Николаевич, если суммировать все факторы, влияющие на заболеваемость…

— Во-первых, это экология и ритм жизни (стрессовые факторы). А еще — недостаток витамина D, инсоляции — мало солнца, неправильное питание. Сегодня при разработке программ профилактики рассеянного склероза специалисты возвращаются к рыбьему жиру для детей. Плюс такая сложная инфекция, как вирус Эпштейн–Барр, которая у детей (и редко у взрослых) вызывает мононуклеоз. Этот условно патогенный вирус может вызывать серьезные нарушения в работе иммунной системы. Наконец, курение — у курильщиков более высокая частота инфекции верхних дыхательных путей (любых!), что имеет значение для рассеянного склероза. Эпидемиологические исследования, проведенные в европейских странах, доказали: у курильщиков течение рассеянного склероза более тяжелое. Так что принятый не так давно закон против курения однозначно очень кстати даже с точки зрения рассеянного склероза.

— Что еще запускает механизм этого заболевания?

— Все, что влияет на состояние иммунитета: экология, инфекции, которые циркулируют в популяции. Все это потенциально может повысить риск развития рассеянного склероза. Не надо забывать еще и о генетической предрасположенности к этой болезни. Есть порядка 20 генов, определенное строение которых (полиморфизм) связано с повышением риска развития этого заболевания. Они передаются человеку от мамы и папы и реализуются как предрасположенность при попадании внешнего фактора, например вируса Эпштейн–Барр. К тому же если у человека есть микроавитаминоз по витамину D и он курит, то у него существенно выше риск развития рассеянного склероза.

Рыбий жир в капсулах.

— Назовите самые первые симптомы заболевания рассеянным склерозом, на которые человек должен обращать внимание.

— Неврологи старой школы называли рассеянный склероз органическим хамелеоном, так как его симптомы очень похожи на многие заболевания. А это нарушение зрения, координации движения, головокружение, слабость в конечностях, онемение в какой-то части тела... Но мне бы не хотелось, чтобы люди, прочитав об этом, решили, что у них рассеянный склероз. Первое, что бы я советовал при этих симптомах, — срочно обратиться к врачу. Не занимайтесь самолечением. Я работал в клиниках Канады, Германии, Норвегии — там, если что-то беспокоит, человек сразу идет к врачу. Первый шаг — к терапевту по месту жительства. Симптомы может «разгадать» только врач. К доктору надо идти не со «своим» диагнозом, а с жалобой и за советом.

— Но многие поступают и так: онемела нога — «наверное, я устал (отсидел), скоро пройдет». А болезнь прогрессирует...

— Это чисто российский подход, европеец или североамериканец, имея такие симптомы, тут же пойдет к доктору. А доктор его направит или к неврологу, или к терапевту, а может, к психоаналитику. Когда диагноз будет ставить профессионал, а не сам пациент, тогда и качество оказания медицинской помощи существенно улучшится. Кстати, создавая специализированный центр рассеянного склероза в Москве, мы были первыми в России (нашему центру уже 15 лет), а всего в России сейчас более 50 центров, созданных по нашему образу. Есть куда обратиться.

— Напрашивается вопрос о стоимости лечения. Есть информация, что в месяц заболевшему рассеянным склерозом требуется лекарств примерно на 42 тыс. рублей, в полгода — на четверть миллиона. Кто оплачивает лечение таких пациентов?

— В наш центр пациенты поступают по системе ОМС, а это значит — бесплатно. И дорогостоящие препараты мы получаем или по федеральной программе «7 нозологий», или по территориальным закупкам. Ни один больной за свои деньги дорогостоящие препараты не получает. Может, та цифра, которую вы назвали, родилась в результате расчетов, в какую сумму обходятся государству такие больные? Но если болезнь протекает стабильно, это одна сумма, если больной тяжелый — другая. Важно отметить, что потраченные деньги окупаются: в перспективе государство будет в выигрыше — оно не будет тратить средства на лечение инвалидизирующих обострений, на реабилитацию, на больничные листы, на инвалидность. Заболевшие, а это, как правило, люди трудоспособного возраста, при хорошем лечении сохраняют работоспособность в течение десятилетий, социально активны, содержат семьи, растят детей.

СПРАВКА "МК"

По последним данным, в Москве сегодня зарегистрировано порядка 54 случаев заболеваний рассеянным склерозом на 100 тыс. населения. Если всего по страховке в столице обслуживаются примерно 12 млн пациентов, то из них примерно 6 тысяч больных рассеянным склерозом. Но это не окончательная цифра, так как некоторые заболевшие рассеянным склерозом наблюдаются в ведомственных медучреждениях, федеральных клиниках.

— Есть ли препараты российского производства для лечения рассеянного склероза?

— Пока только воспроизводятся биоаналоги западных препаратов. Но новые направления лечения в России тоже разрабатываются. Этим занимаются научно-практические центры, в том числе и с нашим участием. После того как препарат будет создан, он должен пройти все стадии изучения, в том числе тщательные клинические исследования. Современная доказательная медицина требует, чтобы все новые методы проходили тщательные исследования, длительность которых иногда превышает десятилетие. Но только при таких данных специалист будет отвечать за свои рекомендации, знать, как помочь конкретному пациенту.

Что еще почитать

В регионах

Новости

Самое читаемое

...
Сегодня
...
...
...
...
Ощущается как ...

Реклама

Автовзгляд

Womanhit

Охотники.ру